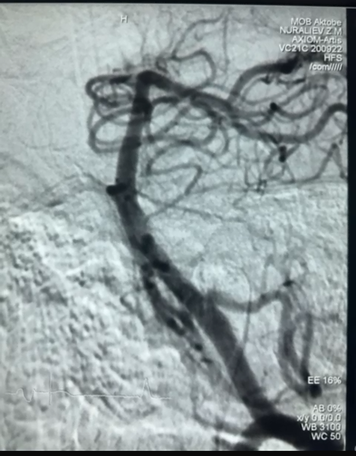
Recentemente, houve um caso bem-sucedido de trombectomia usando o Dredger Stent Retriever da NeuroSafe Medical Co., Ltd. O Dredger Stent Retriever tem uma ponta macia não invasiva, o que reduz muito o risco de danos à íntima, e tem um design exclusivo de orifício com formato especial que captura coágulos sanguíneos principalmente prendendo as mudanças de espaço.





